MagnaCut Steel Production Update: What Knife Makers Need to Know
Feb 23rd 2026
If you’ve been asking whether MagnaCut is still the same steel you trust, this MagnaCut steel production update is written for you. When steel production changes, it’s reasonable to question whether toughness, corrosion resistance, or heat-treat behavior might shift. Your knives, your process, and your customers depend on consistency—so clear, data-driven answers matter.
This article focuses on what affects you directly: verified testing, metallurgical context, and what the results actually mean for real-world knife performance.
MagnaCut Steel – Production Update
- Same MagnaCut. Same performance.
MagnaCut production has transitioned to Erasteel, with independent testing confirming performance equal to or better than the original material. - Improved toughness, unchanged corrosion resistance.
The current MagnaCut delivers higher toughness at typical blade hardness levels while maintaining MagnaCut’s industry-leading stainless corrosion resistance. - Consistent heat treat and quality control.
Chemistry and processing were carefully calibrated and are continuously monitored to ensure full compatibility with existing heat-treat practices.
Bottom line: MagnaCut continues to deliver its signature balance of toughness, edge stability, and corrosion resistance, with full continuity going forward.
Why This MagnaCut Steel Production Update Matters to You
MagnaCut earned its reputation by solving a real problem for knife makers: combining stainless corrosion resistance with high toughness and stable edges. Any uncertainty around production naturally raises concerns—especially if you’ve invested time dialing in heat-treat recipes or built a product line around MagnaCut’s performance.
This MagnaCut steel production update exists to replace speculation with data and explain why the results make metallurgical sense.
Powder Metallurgy Context: Why Carbides Matter More Than Oxides
To understand why MagnaCut performance remains consistent across producers, it helps to look at results from earlier powder metallurgy steel testing.
In prior studies comparing steels such as M390, 20CV, and 204P, one of the most visible differences between manufacturers was oxygen content. Oxygen is an impurity associated with oxide inclusions, which are often discussed as a potential limiter of toughness.

However, those studies showed that toughness was effectively identical across producers. The reason is critical:
Carbide volume and carbide size are the primary factors controlling toughness in high-alloy powder metallurgy steels. When carbide volume is high and carbides are significantly larger than oxide inclusions, carbides—not oxides—become the limiting factor for toughness. In those cases, oxide inclusion content does not meaningfully affect performance.
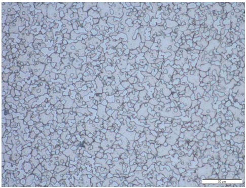
Microstructure images help visualize this relationship by showing how carbides dominate the structure. The mass carbides appear as the larger white regions, while the oxides show up as small black specks. This contrast is harder to distinguish in the annealed condition. The carbides make up a significant portion of the structure, whereas the oxides are comparatively very small.

M390 20CV
What Changed with MagnaCut: Production, Not Performance
With MagnaCut production transitioning to Erasteel, chemistry targets were dialed in using multiple prior heats as reference material. This behind-the-scenes calibration ensures the steel you receive today behaves the way MagnaCut always has.
What Didn’t Change: Corrosion Resistance
One of MagnaCut’s defining strengths is its stainless corrosion resistance. Independent salt spray testing showed no visible corrosion on either version of MagnaCut.
For you, this means no change in real-world stainless performance—whether your knives are intended for outdoor use, food prep, marine environments, or daily carry.
Heat Treat Compatibility: Your Process Still Works
Another key concern addressed in this MagnaCut steel production update is heat-treat response. Testing showed very similar hardening behavior under the same conditions.

If you already have MagnaCut dialed in, you do not need to rewrite your process or start over.
What Improved: Toughness at Working Hardness
The most significant result in this MagnaCut steel production update is improved toughness at typical blade hardness levels.
When compared to high-alloy and non-stainless steels, MagnaCut continues to compete at a level that blurs traditional category boundaries—while remaining fully stainless.
Optional Insight for Advanced Makers
For makers interested in fine-tuning performance, testing also showed that higher austenitizing temperatures can improve the hardness-toughness balance.

Bottom Line
This MagnaCut steel production update confirms what matters most to you:
- Same MagnaCut chemistry and behavior
- Same corrosion resistance
- Same heat-treat compatibility
- Improved toughness at working hardness
- Full continuity going forward
You can continue building with confidence, knowing the steel behind your blades remains consistent, reliable, and proven.
Looking to learn more about MagnaCut Knife steel? Check out some of our related blogs here:
The Innovation Behind MagnaCut Knife Steel
Why CPM® MagnaCut Steel is the future of Knives
High-Performance Knife Steel Explained
For more information, check out our other blogs.
Click here to view our product catalog at our updated e-commerce store!
Interested in additional information on knife steel or CPM® MagnaCut stainless steels? Click here!


